Multiple Prior Live Births are Associated with Cardiac Remodeling and Heart Failure Risk in Women
Source : https://www.onlinejcf.com/article/S1071-9164(23)00004-0/fulltext
Pregnancy presents a window of opportunity to identify those who may be at greater long-term cardiovascular risk, both because this is a unique time-period when they are highly engaged in...
Conclusions: Greater number of live births are associated with worse cardiac structure and function. While there was no association with overall HF, a higher number of live births was associated with greater risk for incident HFrEF.
A fast computational model for circulatory dynamics: effects of left ventricle-aorta coupling - Biomechanics and Modeling in Mechanobiology
Source : https://link.springer.com/article/10.1007/s10237-023-01690-w
The course of diseases such as hypertension, systolic heart failure and heart failure with a preserved ejection fraction is affected by interactions between the left ventricle (LV) and the vasculature....
Conclusion: A novel circulatory system model is presented, using a combination of spatially resolved and lumped-parameter component representations, which allows simulations of multiple cardiac cycles with computations that run faster than real time. The model is applied to examine the consequences of the aortic stiffening that occurs with...
Blood pressure in heart failure management and prevention - Hypertension Research
Source : https://www.nature.com/articles/s41440-022-01158-x
Comparison between patients with and without heart failure regarding blood pressure The association between CV events and SBP is linear in patients without heart failure; however, it becomes J-shaped or...
Conclusions/Relevance: This review discusses the potential mechanisms by which hypertension leads to HFrEF or HFpEF, the impact of hypertension on incident heart failure, and the recommended approaches for blood pressure management in patients with heart failure.
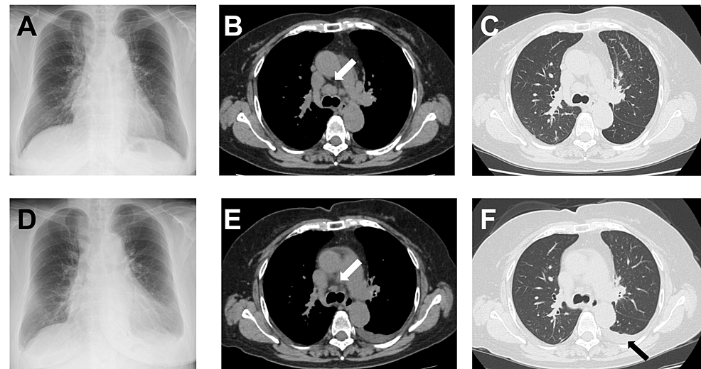
Entrectinib-Induced Heart Failure in a Patient With Metastatic Lung Adenocarcinoma: A Case Report
Entrectinib is a recently approved multikinase inhibitor to treat advanced c-ros oncogene1 (ROS1) positive non-small cell lung cancer (NSCLC). Although molecular targeted therapy is generally well tolerated, cardiovascular adverse events...
Conclusions: We presented a case of symptomatic CTRCD after entrectinib treatment in a patient with ROS1-rearranged metastatic lung adenocarcinoma. Physicians should monitor cardiac function as patients may develop heart failure, especially in the early phase of entrectinib initiation. The number of cases where entrectinib is prescribed is...
Abnormal left ventricular subendocardial perfusion and diastolic function in women with obesity and heart failure and preserved ejection fraction - The International Journal of Cardiovascular Imaging
Source : https://link.springer.com/article/10.1007/s10554-022-02782-x
Purpose - Coronary microvascular dysfunction (CMD) is common in patients with heart failure with preserved ejection fraction (HFpEF) and obesity. Stress cardiovascular magnetic resonance (CMR) has been proposed as a...
Conclusion: Using a novel quantitative stress CMR myocardial perfusion mapping technique, women with obesity and HFpEF were found to have patterns of abnormal subendocardial perfusion which significantly correlated with measures of diastolic dysfunction.
