Validation of an LC-MS/MS method for quantitation of fostemsavir in plasma
Source : https://www.sciencedirect.com/science/article/abs/pii/S1056871923000059?via=ihub
A novel, sensitive and specific LC-MS/MS technique was developed and validated for the quantification of fostemsavir in human plasma and its pharmacok...
Conclusion: In summary, the developed method has been successfully validated and pharmacokinetic parameters were demonstrated after oral administration of Fostemsavir to healthy rabbits.
Pharmacokinetics, metabolism and excretion of radiolabeled fostemsavir administered with or without ritonavir in healthy male subjects
Source : https://www.tandfonline.com/doi/abs/10.1080/00498254.2022.2119179?journalCode=ixen20
Abstract The pharmacokinetics, elimination, and metabolism of fostemsavir (FTR), a prodrug of the HIV-1 attachment inhibitor temsavir (TMR), were investigated in healthy volunteers. FTR was administered with and without ritonavir...
Relevance: The pharmacokinetics, elimination, and metabolism of fostemsavir (FTR), a prodrug of the HIV-1 attachment inhibitor temsavir (TMR), were investigated in healthy volunteers. FTR was administered with and without ritonavir (RTV), a protease inhibitor previously shown to boost TMR exposures. In vitro studies were also used to identify...
In Utero Antiretroviral Exposure and Risk of Neurodevelopmental Problems in HIV-Exposed Uninfected 5-Year-Old Children
Source : https://www.liebertpub.com/doi/10.1089/apc.2022.0189
If the address matches an existing account you will receive an email with instructions to reset your password.
Conclusion: It remains important to monitor neurodevelopment of CHEU during early childhood and investigate the impact and the role of timing of in utero exposure to specific ARVs.
Weight Change When Initiating, Switching to, and Discontinuing Integrase Strand Transfer Inhibitors in People Living with HIV
Source : https://www.liebertpub.com/doi/10.1089/apc.2022.0203
If the address matches an existing account you will receive an email with instructions to reset your password.
Relevance: Further investigations into the relationship between integrase strand transfer inhibitors (INSTIs) and weight gain are required, especially whether ceasing INSTI results in weight loss. We evaluated weight changes associated with different antiretroviral (ARV) regimens.
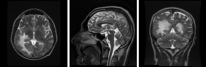
Rapid-progressing progressive multifocal leukoencephalopathy in two patients newly diagnosed with HIV: case series and review of literature - Journal of NeuroVirology
Source : https://link.springer.com/article/10.1007/s13365-023-01115-5
The JC Polyomavirus (JCPyV) is a virus of global distribution and is usually kept under control by the immune system. In patients with AIDS, a latent JCPyV infection can reactivate...
Conclusions: Patients with neurological symptoms must be a matter of great concern to all doctors. They should be tested for HIV and examined with an MRI of the brain paired with CSF evaluation earlier even with slight clinical lesions. Treatment that targets JCPyV directly is needed and would be highly beneficial for patients with PML,...
