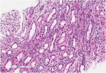
Semaglutide-Associated Acute Interstitial Nephritis: A Case Report
Source : https://www.kidneymedicinejournal.org/article/S2590-0595(22)00193-5/fulltext
Glucagon-like peptide 1 receptor agonists (GLP-1RAs) are being investigated to slow the decline of kidney function in type 2 diabetics with chronic kidney disease (CKD). These agents have proven benefits...
Conclusion: Currently, with semaglutide prescription, monitoring of kidney function is limited to patients with severe adverse gastrointestinal reactions.
-
Dr Hamid3yrGlucagon-like peptide 1 receptor agonists (GLP-1RAs) are being investigated to slow the decline of kidney function in type 2 diabetics with chronic kidney disease (CKD)
Semaglutide for cardiovascular event reduction in people with overweight or obesity: SELECT study baseline characteristics - PubMed
Source : https://pubmed.ncbi.nlm.nih.gov/36502289/
The .gov means it's official. Federal government websites often end in .gov or .mil. Before sharing sensitive information, make sure you're on a federal government site. The site is secure....
Conclusions: The enrolled population in SELECT includes participants across a broad range of relevant risk categories. This will allow the study to garner information about the CV benefits of semaglutide across these relevant clinical subgroups.
-
Dr Hamid3yrpaper describes the baseline characteristics of the Semaglutide Effects on Heart Disease and Stroke in Patients with Overweight or Obesity
Efficacy and Safety of Liraglutide and Semaglutide on Weight Loss in P | CLEP
Obesity is a chronic disease with serious health consequences; it can lead to insulin resistance, hypertension, and dyslipidemia, associated with complications such as type 2 diabetes, cardiovascular disease, and non-alcoholic...
Conclusion: This meta-analysis indicates that all GLP-1RAs were more efficacious than placebo in people with obesity or overweight on efficacy. Semaglutide 2.4mg has an absolute advantage in weight loss and decreased HbA1c, but the incidence of total adverse events is also the highest and can cause hypoglycemia. In addition, although...
Phase angle (PhA) in overweight and obesity: evidence of applicability from diagnosis to weight changes in obesity treatment - Reviews in Endocrine and Metabolic Disorders
Source : https://link.springer.com/article/10.1007/s11154-022-09774-1
Phase angle (PhA) is a recently proposed marker of nutritional status in many clinical conditions. Its use in patients with obesity presents different critical concerns due to the higher variability...
Conclusion: We can conclude that the PhA could be used as marker of health status in patients with obesity supporting an appropriate weight loss intervention to monitor efficacy and fat free mass preservation.
Potential Roles of Glucagon-Like Peptide 1 Receptor Agonists (GLP-1 RAs) in Nondiabetic Populations
Source : https://www.hindawi.com/journals/cdtp/2022/6820377/
Glucagon-like peptide 1 receptor agonists (GLP-1 RAs) have been observed in several large cardiovascular outcome trials to significantly reduce the incidence of major cardiovascular event (MACE) with type 2 diabetic...
Conclusions/Relevance: The focus of the review is on GLP-1 RAs’ preventive roles in nondiabetic individuals with cardiovascular disease, chronic kidney diseases, obesity, dyslipidaemia, hypertension, nonalcoholic fatty liver diseases, polycystic ovarian syndrome (PCOS), and perioperative complications of bariatric surgery, albeit in small...
