Descending Necrotizing Mediastinitis by Streptococcus anginosus and Prevotella buccae in an Intensive Care Unit Patient: A Case Report
Necrotizing infections of deep neck spaces are a group of life-threatening infectious diseases acquired through trauma or as a descending infection from an odontogenic source. The isolation of pathogens is...
We present a case of a patient without risk factors for descending necrotizing mediastinitis with isolation of Streptococcus anginosus and Prevotella buccae managed at the intensive care unit with a multidisciplinary team. We present our approach and how we successfully treat this complicated infection.
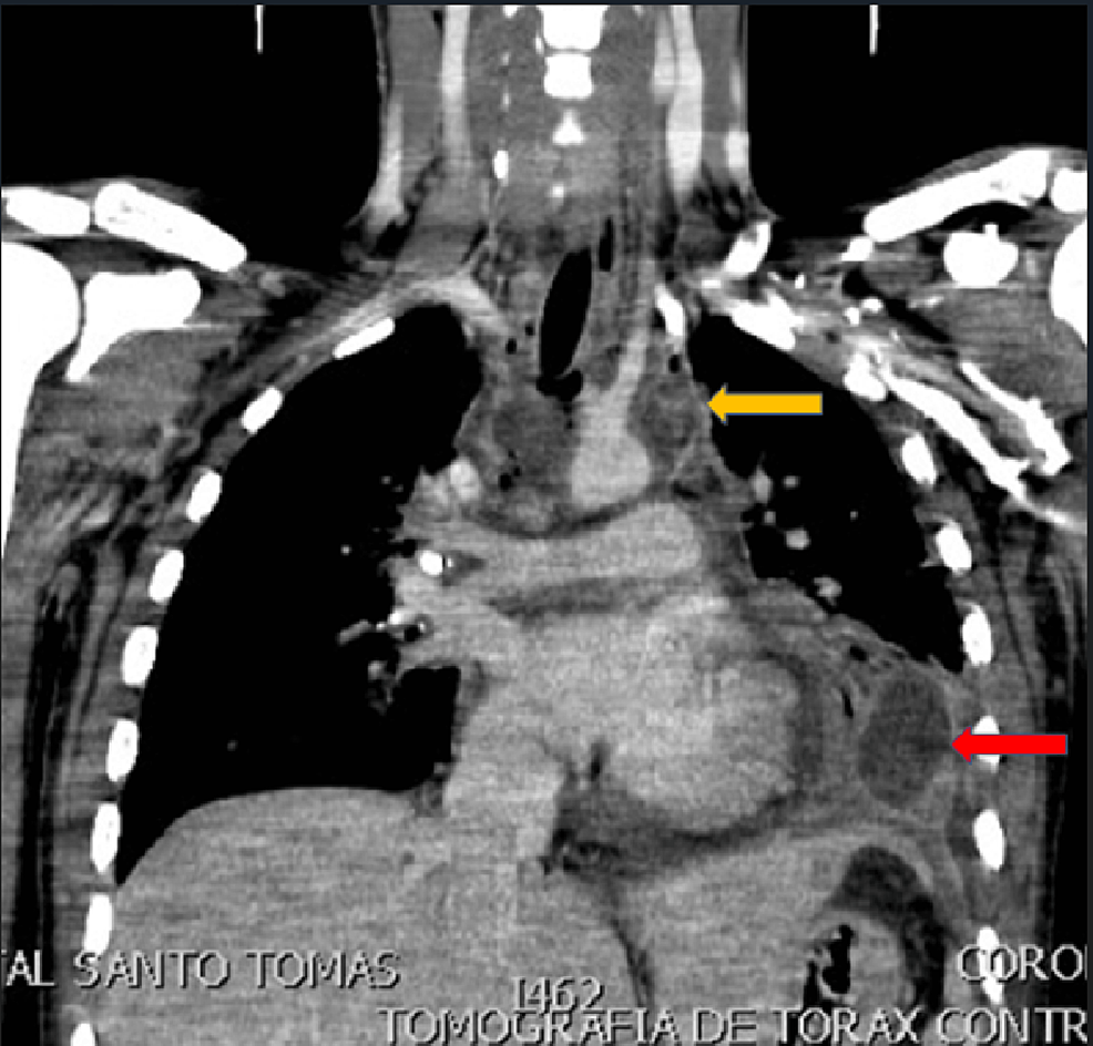
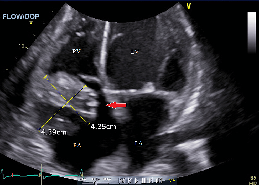
The Use of AngioVac in a Patient With Severe Infective Endocarditis Where Open Heart Surgery Is Contraindicated: A Case Report
Infectious endocarditis of the tricuspid valve (TV) is a common complication of intravenous (IV) drug use. Endocarditis caused by viridans streptococci can lead to heart valve vegetations, which may be...
This therapy, in conjunction with intravenous antibiotics and hemodialysis, successfully sterilized the vegetation, prevented worsening presentation, and averted life-threatening complications, although severe tricuspid regurgitation persisted. Based on the findings of this case, the AngioVac device is a safe and effective treatment option...
A Prognostic Marker in COVID-19 Disease Severity and Mortality: D-Dimer/Platelet Ratio
Introduction: We aimed to examine the D-dimer/platelet ratio (DPR), which includes the combination of D-dimer and platelet measurements, which are two important markers in predicting prognosis, considering that it will...
Conclusion: DPR is successful in predicting the severity, ICU admission, and mortality of COVID-19 patients.
These results showed for the first time that the treatment of antibiotics at sub-MIC concentrations increases the expression levels of biofilm-specific resistance genes and contributes to resistance and motility.
Interpretation: Among under-screened women from low-income backgrounds, mailed HPV self-collection kits with scheduling assistance led to greater uptake of cervical cancer screening than scheduling assistance alone. At-home HPV self-collection testing has the potential to increase screening uptake among under-screened women.
