Association of beta-blockers beyond 1 year after myocardial infarction and cardiovascular outcomes
Source : https://heart.bmj.com/content/early/2023/04/16/heartjnl-2022-322115
Objective Beta-blockers (BB) are an established treatment following myocardial infarction (MI). However, there is uncertainty as to whether BB beyond the first year of MI have a role in patients...
Conclusion: Evidence from this nationwide cohort study suggests that BB treatment beyond 1 year of MI for patients without heart failure or LVSD was not associated with improved cardiovascular outcomes
FDA approves new treatment for nosocomial pneumonia
The FDA has approved IV sulbactam-durlobactam to treat hospital-acquired bacterial pneumonia and ventilator-associated bacterial pneumonia caused by susceptible strains of Acinetobacter baumannii-calcoaceticus complex.
FDA approves new treatment for nosocomial pneumonia.
Oxygen therapy improves heart function in patients with long COVID
Barcelona, Spain - 10 May 2023: A small randomised trial in patients with post-COVID syndrome has found that hyperbaric oxygen therapy promotes restoration of the heart's ability to contract properly....
"The study suggests that hyperbaric oxygen therapy can be beneficial in patients with long COVID,” said study author Professor Marina Leitman of the Sackler School of Medicine, Tel Aviv University and Shamir Medical Centre, Be'er Ya'akov, Israel. “We used a sensitive measure of cardiac function which is not routinely performed in all...
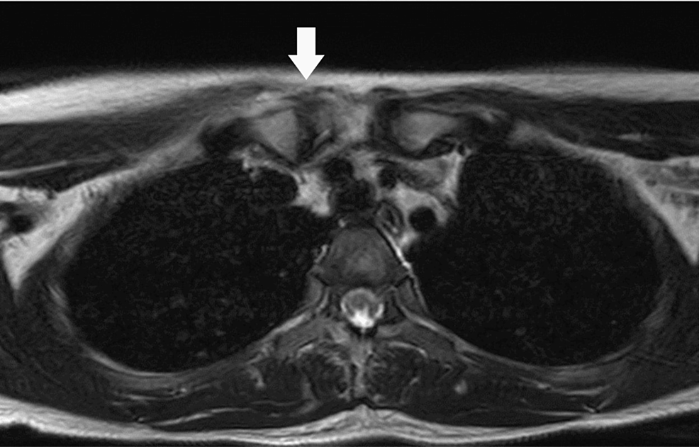
Sternoclavicular Septic Arthritis Due to Invasive Pneumococcal Infection After Type A Influenza Virus Infection
A 24-year-old female patient who had a type A influenza virus infection prior to admission visited our hospital complaining of a fever and right sternoclavicular pain. Blood culture was positive...
When a patient complains of gradually increasing chest pain after an influenza virus infection, SCJ septic arthritis should be considered in the differential diagnosis.
Investigating Viral Involvement in Immunocompromised Patients Using Comprehensive Infectious Disease Testing Including FilmArray Respiratory Panel 2.1 on Bronchoscopy: A Retrospective Study
Introduction Reports are rare on the usefulness of the FilmArray Respiratory Panel 2.1 (FARP) using lower respiratory tract specimens. This retrospective study assessed its use, as part of a comprehensive...
Conclusions: Comprehensive infectious disease testing, performed using bronchoalveolar lavage samples collected from lung lesions in immunosuppressed patients, showed low positive detection by FARP. The viruses currently detectable by FARP may be less involved in viral pneumonia diagnosed in immunocompromised patients.
