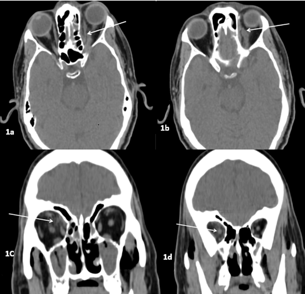
The Radiological Spectrum of Rhino-Oculo-Cerebral Mucormycosis
Aim We aim to study the spectrum of imaging findings in patients with rhino-oculo-cerebral mucormycosis (ROCM). Materials and methods This retrospective descriptive study was performed in histopathologically confirmed cases of...
ROCM is a life-threatening invasive fungal infection, especially in an immunocompromised state. ROCM is characterized by a variety of imaging abnormalities on CT and MRI, although nonspecific. Imaging aids in suspicion or early diagnosis in appropriate clinical contexts, particularly in an immunocompromised state, and in determining the...
Evaluation and Determination of Quantitative Hepatitis B Surface Antigen Diagnostic Performance in Chronic Hepatitis B Virus-Infected Patients
Background Hepatitis B virus DNA (HBV-DNA) assessment is recommended for diagnosing and monitoring chronic hepatitis B (CHB) patients. Quantitative hepatitis B surface antigen (qHBsAg) estimation adjunct to HBV-DNA is vital...
Conclusions: Our results indicated that qHBsAg might be a useful marker for monitoring HBV-DNA in CHB patients throughout treatment and follow-up.
Comprehensive analysis of the microbiome and metabolome in pus from pyogenic liver abscess patients with and without diabetes mellitus
Source : https://doi.org/10.3389/fmicb.2023.1211835
IntroductionPyogenic liver abscess (PLA) patients combined with diabetes mellitus (DM) tend to have more severe clinical manifestations than without DM. The mechanism responsible for this phenomenon is not entirely clear....
Discussion: The results showed that the relative abundance of Klebsiella in the pus cavity of PLA patients with DM was higher than those without DM, accompanied by changes of various metabolites and metabolic pathways, which may be associated with more severe clinical manifestations.
Development of a Definition of Postacute Sequelae of SARS-CoV-2 Infection - PubMed
Source : https://pubmed.ncbi.nlm.nih.gov/37278994/
A definition of PASC was developed based on symptoms in a prospective cohort study. As a first step to providing a framework for other investigations, iterative refinement that further incorporates...
Conclusions and Relevance: A definition of PASC was developed based on symptoms in a prospective cohort study. As a first step to providing a framework for other investigations, iterative refinement that further incorporates other clinical features is needed to support actionable definitions of PASC.
Drugging evolution of antibiotic resistance at a regulatory network hub - PubMed
Source : https://pubmed.ncbi.nlm.nih.gov/37352342/
Evolution of antibiotic resistance is a world health crisis, fueled by new mutations. Drugs to slow mutagenesis could, as cotherapies, prolong the shelf-life of antibiotics, yet evolution-slowing drugs and drug...
We identify a U.S. Food and Drug Administration– and European Medicines Agency–approved drug, dequalinium chloride (DEQ), that inhibits activation of the Escherichia coli general stress response, which promotes ciprofloxacin-induced (stress-induced) mutagenic DNA break repair. We uncover the step in the pathway inhibited: activation of...
