Childhood beverage intake and risk of hypertension and hyperlipidaemia in young adults
Source : https://www.tandfonline.com/doi/abs/10.1080/09637486.2022.2091524?journalCode=iijf20
Abstract An epidemiological analysis assessing beverage consumption and risk factors for cardiovascular disease was conducted. Participants were 9-16 years old at enrolment, completed food frequency questionnaires in 1996-2001 and self-reported outcomes...
Conclusion: This study can guide beverage consumption as it relates to early predictors of cardiovascular disease.
Time-averaged low-density lipoprotein cholesterol lowering with evolocumab: Pooled analysis of phase 2 trials - PubMed
Source : https://pubmed.ncbi.nlm.nih.gov/35760720/
LDL-C is the pivotal risk factor for atherosclerotic cardiovascular disease, and the benefit from LDL-C lowering is proportional to the magnitude of reduction. Clinical trials demonstrate that evolocumab reduces LDL-C...
Conclusion: The time-averaged measure yielded LDL-C reductions for evolocumab that exceeded measurements at the end of dosing intervals and may provide a better estimate of cardiovascular benefit during long-term therapy.
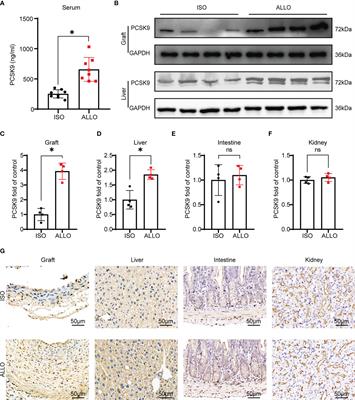
Targeting PCSK9 Ameliorates Graft Vascular Disease in Mice by Inhibiting NLRP3 Inflammasome Activation in Vascular Smooth Muscle Cells
Source : https://www.frontiersin.org/articles/10.3389/fimmu.2022.894789/full
BackgroundGraft vascular disease (GVD), which limits the long-term survival of patients after solid-organ transplantation, is associated with both immune responses and nonimmune factors, including dyslipidemia. Recent studies have shown that...
Conclusion: PCSK9 is upregulated in a mouse model of GVD, and Pcsk9 knockout reduces vascular occlusion, suggesting that PCSK9 may be a promising target for the treatment of GVD.
-
Dr Hamid3yrPCSK9 plays an important role in atherosclerotic plaque development through a cholesterol-independent mechanism
Molecular and cellular biology of PCSK9: impact on glucose homeostasis - PubMed
Source : https://pubmed.ncbi.nlm.nih.gov/35723066/
Proprotein convertase substilisin/kexin 9 (PCSK9) inhibitors (PCSK9i) revolutionised the lipid-lowering therapy. However, a risk of type 2 diabetes mellitus (T2DM) is evoked under PCSK9i therapy. In this review, we summarise...
Conclusion/Relevance: Convertase substilisin/kexin 9 (PCSK9) inhibitors (PCSK9i) revolutionised the lipid- Proprotein lowering therapy. However, a risk of type 2 diabetes mellitus (T2DM) is evoked under PCSK9i therapy. In this review, we summarise the current knowledge on the link of PCSK9 with T2DM. A significant correlation was found between...
-
Dr Hamid3yrProprotein convertase substilisin/kexin 9 (PCSK9) inhibitors (PCSK9i) revolutionised the lipid-lowering therapy
PCSK9 inhibitors for secondary prevention in patients with cardiovascular diseases: a bayesian network meta-analysis - Cardiovascular Diabetology
Source : https://cardiab.biomedcentral.com/articles/10.1186/s12933-022-01542-4
Background The Food and Drug Administration has approved Proprotein Convertase Subtilisin/Kexin Type 9 (PCSK9) inhibitors for the treatment of dyslipidemia. However, evidence of the optimal PCSK9 agents targeting PCSK9 for...
Conclusions: In consideration of the fact that both PCSK9 monoclonal antibody and inclisiran enable patients to achieve recommended LDL-C target, the findings in this meta-analysis suggest that alirocumab might provide the optimal benefits regarding all-cause mortality with relatively lower SAE risks, and evolocumab might provide the optimal...
