A dual-action antibiotic that kills Clostridioides difficile vegetative cells and inhibits spore germination - PubMed
Source : https://pubmed.ncbi.nlm.nih.gov/37155891/
The .gov means it's official. Federal government websites often end in .gov or .mil. Before sharing sensitive information, make sure you're on a federal government site. The site is secure....
We document that the oxadiazole binds to the lytic transglycosylase SleC and the pseudoprotease CspC for prevention of spore germination. SleC degrades the cortex peptidoglycan, a critical step in the initiation of spore germination. CspC senses germinants and cogerminants. Binding to SleC is with higher affinity than that to CspC. Prevention...
Double Trouble Co-Infections: Understanding the Correlation Between COVID-19 and HIV Viruses
A global outbreak of coronavirus disease 2019 (COVID-19), an infectious disease caused by the severe acute respiratory syndrome coronavirus 2 (SARS-CoV-2), mounted a substantial threat to public health worldwide. It...
The collision of these two disastrous pandemics warrants the need to materialize rigorous epidemiological measures and health policies, but most importantly, brisk research in prevention strategies to mitigate the combined burden of the two viruses and to battle similar future pandemics.
Immune Reconstitution Inflammatory Syndrome Reaction in Patient on Long-Term Prednisone
Immune reconstitution inflammatory syndrome (IRIS) can be triggered in many ways. IRIS has been recognized during tuberculosis (TB) therapy, especially in patients newly initiated on antiretroviral therapy for HIV or...
Immune reconstitution inflammatory syndrome (IRIS) can be triggered in many ways. IRIS has been recognized during tuberculosis (TB) therapy, especially in patients newly initiated on antiretroviral therapy for HIV or those taken off immunosuppressives such as tumor necrosis factor-alpha inhibitors. However, there are still many triggers of...
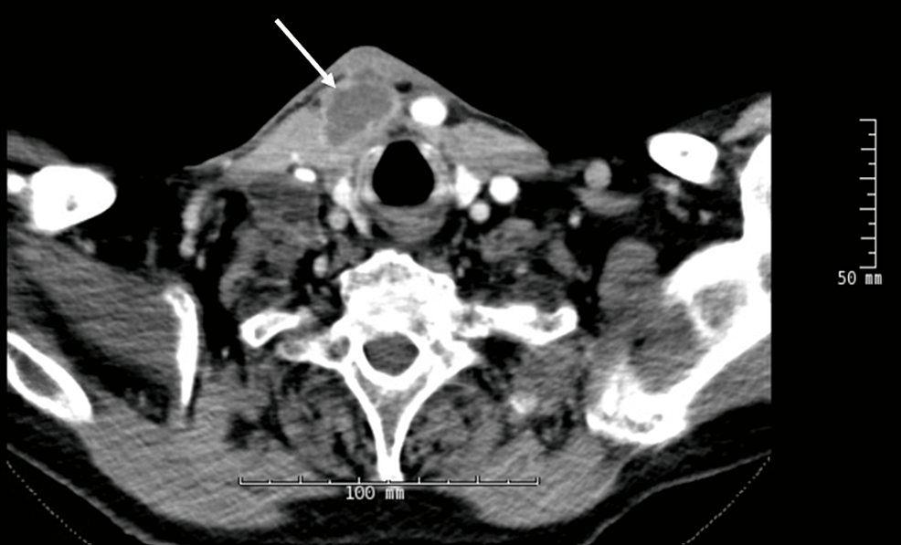
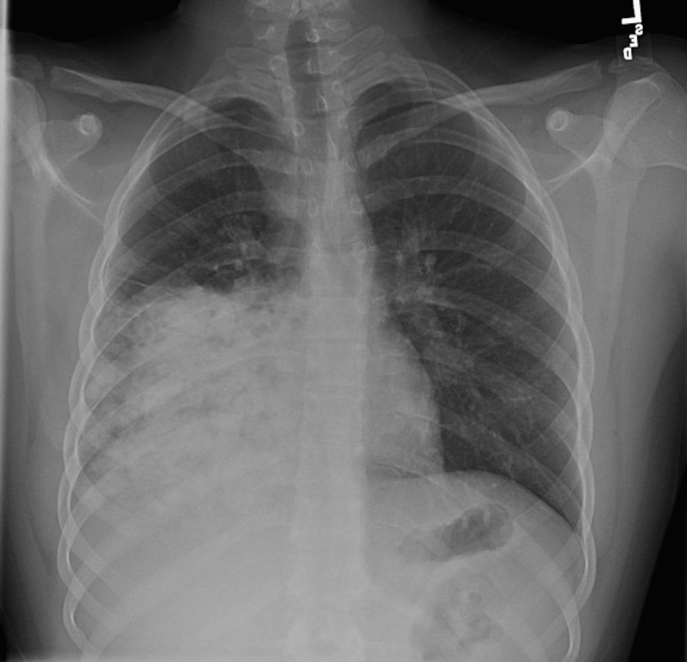
Travel Does More Than Widens One's Horizon: Travel History as Key to Diagnosing Blastomycosis
This case report highlights the importance of a detailed travel history and the need to revisit the differential diagnosis when there is an unexpected clinical course. A previously healthy 15-year-old...
Blastomycosis is caused by a dimorphic fungus endemic in certain parts of the United States including areas surrounding the Mississippi and Ohio River valleys, some southeastern states, and areas bordering the Great Lakes. Autochthonous blastomycosis is not seen in Florida. The infection is acquired by inhalation of the organism and is...
The HPV-DNA Test in Pregnancy: A Review of the Literature
Source : https://www.cureus.com/articles/148688-the-hpv-dna-test-in-pregnancy-a-review-of-the-literature
Human papillomavirus (HPV) is a virtually necessary cause of cervical cancer, and HPV genotypes are categorized either as high-risk or low-risk based on their potential to cause malignancy of the...
The HPV-DNA test may constitute a helpful tool utilized for monitoring, risk stratification, and triage of cases that require colposcopy. If combined with the HPV-mRNA test, this might improve its specificity. However, when compared to HPV-DNA detection rates in non-pregnant women, the results were ambiguous, without giving the opportunity to...
