Protection from past infection against re-infection from pre-omicron variants was very high and remained high even after 40 weeks. Protection was substantially lower for the omicron BA.1 variant and declined more rapidly over time than protection against previous variants. Protection from severe disease was high for all variants. The immunity...
Myocardial Involvement After Hospitalization for COVID-19 Complicated by Troponin Elevation: A Prospective, Multicenter, Observational Study - PubMed
Source : https://pubmed.ncbi.nlm.nih.gov/36705028/
The .gov means it's official. Federal government websites often end in .gov or .mil. Before sharing sensitive information, make sure you're on a federal government site. The site is secure....
Conclusions: Compared with contemporary controls, patients with COVID-19 and elevated cardiac troponin level have more ventricular impairment and myocardial scar in early convalescence. However, the proportion with myocarditis was low and scar pathogenesis was diverse, including a newly described pattern of microinfarction.
Association of COVID-19 Vaccination With Risk for Incident Diabetes After COVID-19 Infection - PubMed
Source : https://pubmed.ncbi.nlm.nih.gov/36787145/
The .gov means it's official. Federal government websites often end in .gov or .mil. Before sharing sensitive information, make sure you're on a federal government site. The site is secure....
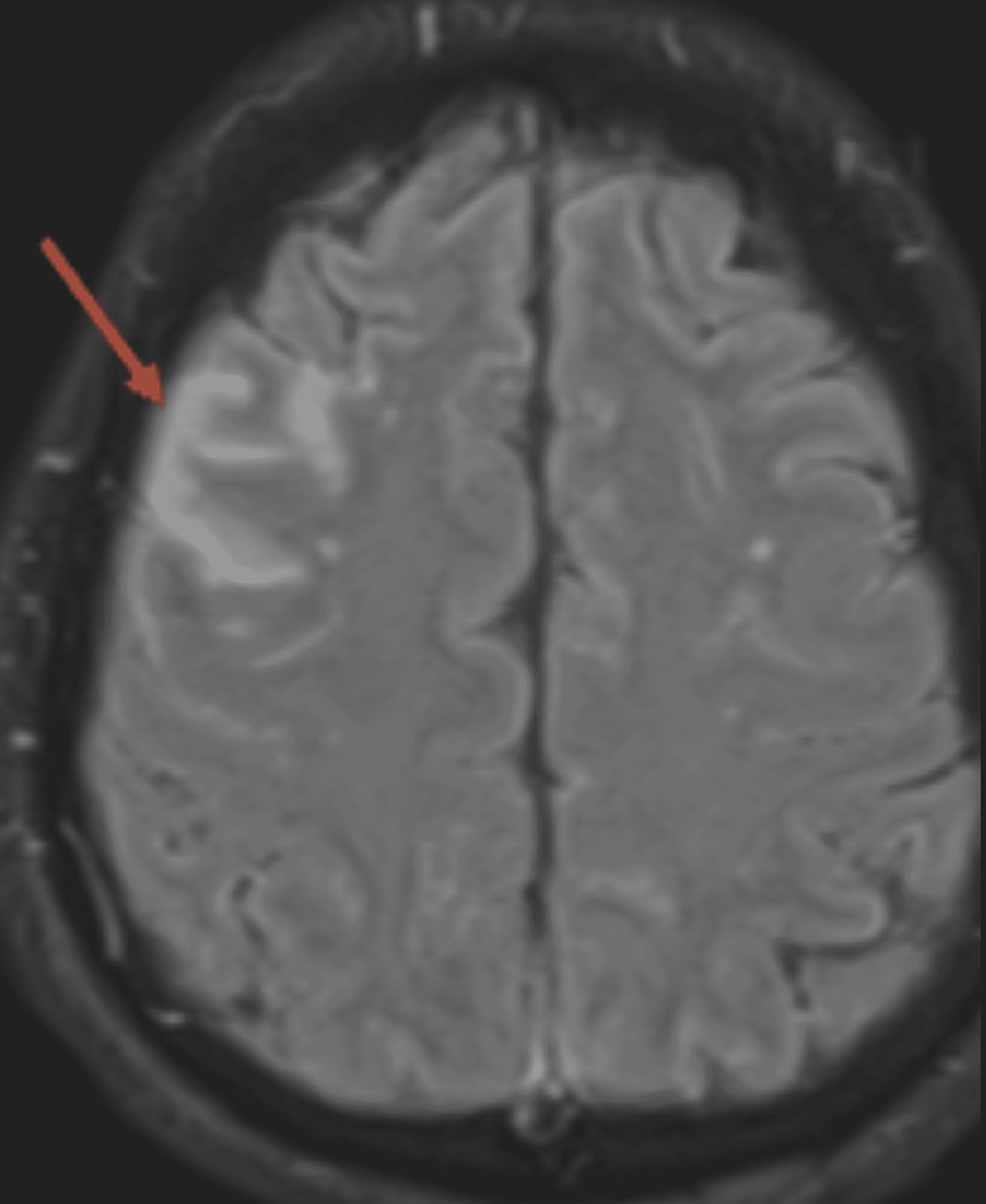
A Sharp Rise in Autoimmune Encephalitis in the COVID-19 Era: A Case Series
Background: Autoimmune encephalitis was very rare prior to the current pandemic. A sharp rise in cases has been observed from March to August of 2022 in Los Angeles. Such an...
Conclusions: This observation has important implications: (1) We may be entering an era of heightened autoimmune encephalitis. (2) These occurrences may be post-infectious in nature at this point of the pandemic. (3) Mostly GAD and VGKC antibodies have been identified (10 of them), which may point toward a new direction of research from a...
A Comprehensive Review of the Current Monkeypox Outbreak
Source : https://www.cureus.com/articles/134246-a-comprehensive-review-of-the-current-monkeypox-outbreak
Monkeypox is a zoonotic disease caused by an orthopoxvirus named monkeypox virus. The virus was identified in 1958, while the first human monkeypox case was discovered in 1970. Monkeypox caused...
#!/
Monkeypox can be controlled by avoiding contact with the cases and vaccinating those at high risk for acquiring the infection and those at high risk for developing severe illness (immune deficient individuals, pregnant women, and children). Our review aims to comprehensively review the current literature regarding Monkeypox, including modes...
