Development and characterization of a camelid derived antibody targeting a linear epitope in the hinge domain of human PCSK9 protein - Scientific Reports
Source : https://www.nature.com/articles/s41598-022-16453-3
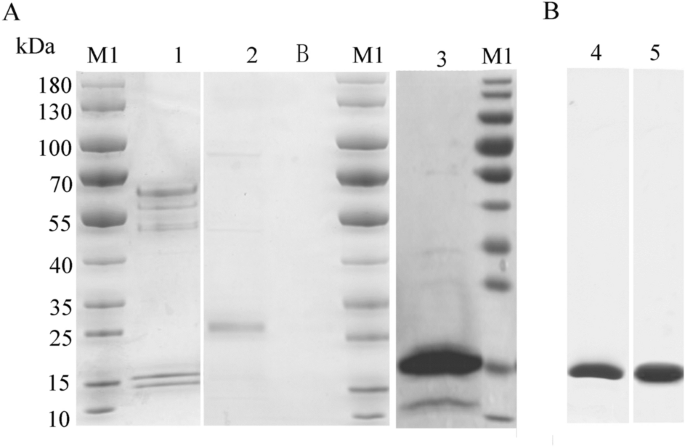
PCSK9 is an effective target for lowering LDL-c. Previously, a camelid-human chimeric heavy chain antibody VHH-B11-Fc targeting human PCSK9 was designed. It had a potent hypolipidemic effect. However, the nanobody...
Conclusion/Relevance: Unlike the interaction epitope of Evolocumab, located in the catalytic region of PCSK9, the binding epitope of VHH-B11 is located in the hinge region of PCSK9, which is rarely reported. These findings indicated that a specific mechanism underlying this interaction needs to be explored.
Isochlorogenic Acid C Alleviates High-Fat Diet-Induced Hyperlipemia by Promoting Cholesterol Reverse Transport
Source : https://www.frontiersin.org/articles/10.3389/fphar.2022.881078/full
Background: Promoting cholesterol reverse transport (RCT) has been proven to be a promising hyperlipidemia therapy since it is more effective for the treatment of atherosclerosis (AS) caused by hyperlipidemia.
Conclusion: ICAC accelerated RCT without affecting liver LXRα, thus resulting in a lipid-lowering effect without increasing liver adipogenesis. Our results indicated that ICAC could be a new RCT promoter for hyperlipidemia treatment without causing liver steatosis.
The Effects of Statin Therapy on Oxidized LDL and Its Antibodies: A Systematic Review and Meta-Analysis
Source : https://www.hindawi.com/journals/omcl/2022/7850659/
Background . Elevated serum low-density lipoproteins (LDL), the substrate for the formation of atherogenic oxidized LDLs (oxLDL), are a causal factor for atherosclerotic cardiovascular disease (ASCVD). Statins are well known...
Conclusion: Statin therapy decreases serum oxLDL concentrations but does not affect circulating levels of anti-oxLDL antibodies.
Effect of the Early Application of Evolocumab on Blood Lipid Profile and Cardiovascular Prognosis in Patients with Extremely High-Risk Acute Coronary ...
Source : https://www.jstage.jst.go.jp/article/ihj/63/4/63_22-052/_article
Proprotein convertase subtilisin/kexin 9 (PCSK9) inhibitors significantly reduce low-density lipoprotein cholesterol (LDL-C) and improve the prognosis of patients with acute coronary syndrome (ACS). However, the feasibility and safety of early...
Conclusion/Relevance: In patients with extremely high-risk ACS with high levels of LDL-C, adding evolocumab to their treatment regimen as early as possible may enhance lipid lowering, increase the patient's LDL-C compliance rate in the short term, and improve cardiovascular prognosis but will not increase adverse reactions.
...
Lipid Lowering Therapy: An Era Beyond Statins
Source : https://www.sciencedirect.com/science/article/abs/pii/S0146280622002390?via=ihub
Available online 31 July 2022, 101342 Dyslipidemia, specifically elevated LDL cholesterol levels, causes atherosclerotic cardiovascular disease (ASCVD) and increases the risk of myocardial infarction and stroke. Statins, a class of...
Conclusion/Relevance: Overall, although statins continue to be the gold standard, non-statin therapies are set to play an increasingly important role in managing dyslipidemia.
-
Lipid Management Connect3yrKey Points • Source: Current Problems in Cardiology • Conclusion: “This review explores non-statin lipid-lowering therapies and examines recent advances and emerging research. Over the previous decades, several lipid-lowering therapies, both as monotherapy and Show More
